Table of Contents |
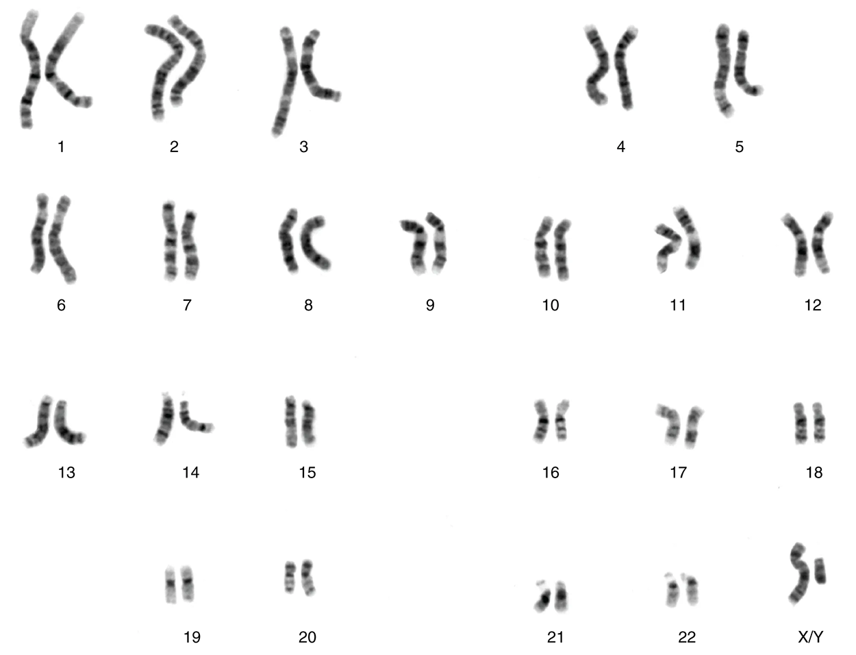
Each human body cell has a full complement of DNA stored in 23 pairs of chromosomes.

The image below shows the pairs in a systematic arrangement called a karyotype. Among these is one pair of chromosomes, called the sex chromosomes, that determines the sex of the individual (XX in human females, XY in human males). The remaining 22 chromosome pairs are called autosomal chromosomes. Each of these chromosomes carries hundreds or even thousands of genes, each of which codes for the assembly of a particular protein—that is, genes are “expressed” as proteins.

An individual’s complete genetic makeup is referred to as their genotype. The characteristics that the genes express, whether they are physical, behavioral, or biochemical, are a person’s phenotype.
In genetics and reproduction, "parent" is often used to describe the individual organisms that contribute genetic material to offspring, usually in the form of gamete cells and their chromosomes.
You inherit one chromosome in each pair—a full complement of 23—from each parent. This occurs when the sperm and oocyte combine at the moment of your conception. Homologous chromosomes—those that make up a complementary pair—have genes for the same characteristics in the same location on the chromosome. Because one copy of a gene, an allele, is inherited from each parent, the alleles in these complementary pairs may vary.
EXAMPLE
Take for example an allele that encodes for dimples. A child may inherit the allele encoding for dimples on the chromosome from one parent and the allele that encodes for smooth skin (no dimples) on the chromosome from the other parent.Although a person can have two identical alleles for a single gene (a homozygous state), it is also possible for a person to have two different alleles (a heterozygous state).

The two alleles can interact in several different ways. The expression of an allele can be dominant, for which the activity of this gene will mask the expression of a non-dominant, or recessive, allele. Sometimes dominance is complete; at other times, it is incomplete. In some cases, both alleles are expressed at the same time in a form of expression known as codominance.
In the simplest scenario, a single pair of genes will determine a single heritable characteristic. However, it is quite common for multiple genes to interact to confer a feature. For instance, eight or more genes—each with their own alleles—determine eye color in humans. Moreover, although any one person can only have two alleles corresponding to a given gene, more than two alleles commonly exist in a population. This phenomenon is called multiple alleles. For example, as you have previously learned, three different alleles encode ABO blood type; these are designated Iᴬ, Iᴮ, and i.
Over 100 years of theoretical and experimental genetics studies, and the more recent sequencing and annotation of the human genome, have helped scientists to develop a better understanding of how an individual’s genotype is expressed as their phenotype. This body of knowledge can help scientists and medical professionals to predict, or at least estimate, some of the features that an offspring will inherit by examining the genotypes or phenotypes of the parents. One important application of this knowledge is to identify an individual’s risk for certain heritable genetic disorders. However, most diseases have a multigenic pattern of inheritance and can also be affected by the environment, so examining the genotypes or phenotypes of a person’s parents will provide only limited information about the risk of inheriting a disease. Only for a handful of single-gene disorders can genetic testing allow clinicians to calculate the probability with which a child born to the two parents tested may inherit a specific disease.
| Term | Pronunciation | Audio File |
|---|---|---|
| Karyotype | kar·yo·type |
|
| Autosomal Chromosomes | au·to·so·mal chro·mo·somes |
|
| Genotype | ge·no·type |
|
| Phenotype | phe·no·type |
|
| Allele | al·lele |
|
| Homozygous | ho·mo·zy·gous |
|
| Heterozygous | het·ero·zy·gous |
|
Our contemporary understanding of genetics rests on the work of a nineteenth-century monk. Working in the mid-1800s, Johann Gregor Mendel set the framework for genetics long before chromosomes or genes had been identified, at a time when meiosis was not well understood. Mendel selected a simple biological system (garden peas) and conducted methodical, quantitative analyses using large sample sizes. Because of Mendel’s work, the fundamental principles of heredity were revealed. We now know that genes, carried on chromosomes, are the basic functional units of heredity with the capability to be replicated, expressed, or mutated. Today, the postulates put forth by Mendel form the basis of classical, or Mendelian, genetics. Not all traits are transmitted from parents to offspring according to Mendelian genetics, but Mendel’s experiments serve as an excellent starting point for thinking about inheritance.
Mendel generalized the results of his pea-plant experiments into several postulates regarding inheritance, some of which are sometimes called “principles” or “laws,” that describe the basis of dominant and recessive inheritance in diploid organisms. Although exceptions have been found, they summarize the basics of classical genetics:

It is common practice in genetics to use capital and lowercase letters to represent dominant and recessive alleles. Using Mendel’s pea plants as an example, if a tall pea plant is homozygous, it will possess two tall alleles (TT). A dwarf pea plant must be homozygous because its dwarfism can only be expressed when two recessive alleles are present (tt). A heterozygous pea plant (Tt) would be tall and phenotypically indistinguishable from a tall homozygous pea plant because of the dominant tall allele. Mendel deduced that a 3:1 ratio of dominant to recessive would be produced by the random segregation of heritable factors (genes) when crossing two heterozygous pea plants. In other words, for any given gene, parents are equally likely to pass down either one of their alleles to their offspring in a haploid gamete and the result will be expressed in a dominant–recessive pattern if both parents are heterozygous for the trait.

Because of the random segregation of gametes, the laws of chance and probability come into play when predicting the likelihood of a given phenotype. Consider a cross between an individual with two dominant alleles for a trait (AA) and an individual with two recessive alleles for the same trait (aa). All of the parental gametes from the dominant individual would be A, and all of the parental gametes from the recessive individual would be a. All of the offspring of that second generation, inheriting one allele from each parent, would have the genotype Aa, and the probability of expressing the phenotype of the dominant allele would be 4 out of 4, or 100%.
This seems simple enough, but the inheritance pattern gets interesting when the second-generation Aa individuals are crossed. In this generation, 50% of each parent’s gametes are A and the other 50% are a. By Mendel’s principle of random segregation, the possible combinations of gametes that the offspring can receive are AA, Aa, aA (which is the same as Aa), and aa.
When segregation and fertilization are random, each offspring has a 25% chance of receiving any of these combinations. Therefore, if only Aa × Aa crosses were performed and 1000 offspring were produced, approximately 250 (25%) of the offspring would be AA, 500 (50%) would be Aa (that is, Aa plus aA), and 250 (25%) would be aa. The genotypic ratio for this inheritance pattern is 1:2:1. However, we have already established that AA and Aa (and aA) individuals all express the dominant trait (i.e., share the same phenotype), and can therefore be combined into one group. The result is Mendel’s third-generation phenotypic ratio of 3:1, which is depicted below in Punnett squares, which you will learn more about in a future lesson.

Mendel’s observation of pea plants also included many crosses that involved multiple traits, which prompted him to formulate the principle of independent assortment. The principle states that the members of one pair of genes (alleles) from a parent will sort independently from other pairs of genes during the formation of gametes. Applied to pea plants, that means that the alleles associated with the different traits of the plant, such as color, height, or seed type, will sort independently of one another. Independent assortment provides for a great degree of diversity in offspring.


Mendelian genetics represent the fundamentals of inheritance, but there are two important qualifiers to consider when applying Mendel’s findings to inheritance studies in humans. First, as we’ve already noted, not all genes are inherited in a dominant–recessive pattern. Although all diploid individuals have two alleles for every gene, allele pairs may interact to create several types of inheritance patterns, including incomplete dominance and codominance.
Second, Mendel performed his studies using thousands of pea plants. He was able to identify a 3:1 phenotypic ratio in second-generation offspring because his large sample size overcame the influence of variability resulting from chance. In contrast, no human couple has ever had thousands of children. If we know that parents are both heterozygous for a recessive genetic disorder, we would predict that one in every four of their children would be affected by the disease.
In real life, however, the influence of chance could change that ratio significantly.
EXAMPLE
If parents are both heterozygous for cystic fibrosis, a recessive genetic disorder that is expressed only when the individual has two defective alleles, we would expect one in four of their children to have cystic fibrosis. However, it is entirely possible for them to have seven children, none of whom is affected, or for them to have two children, both of whom are affected. For each individual child, the presence or absence of a single gene disorder depends on which alleles that child inherits from their parents.