Use Sophia to knock out your gen-ed requirements quickly and affordably. Learn more
×

Chromosomal Abnormalities and Prenatal Testing

Author: Sophia

what's covered
In this lesson, you will learn how different chromosomal abnormalities are formed and the role of prenatal testing to help identify these abnormalities during pregnancy. Specifically, this lesson will cover:

Table of Contents

1. Chromosomal Abnormalities

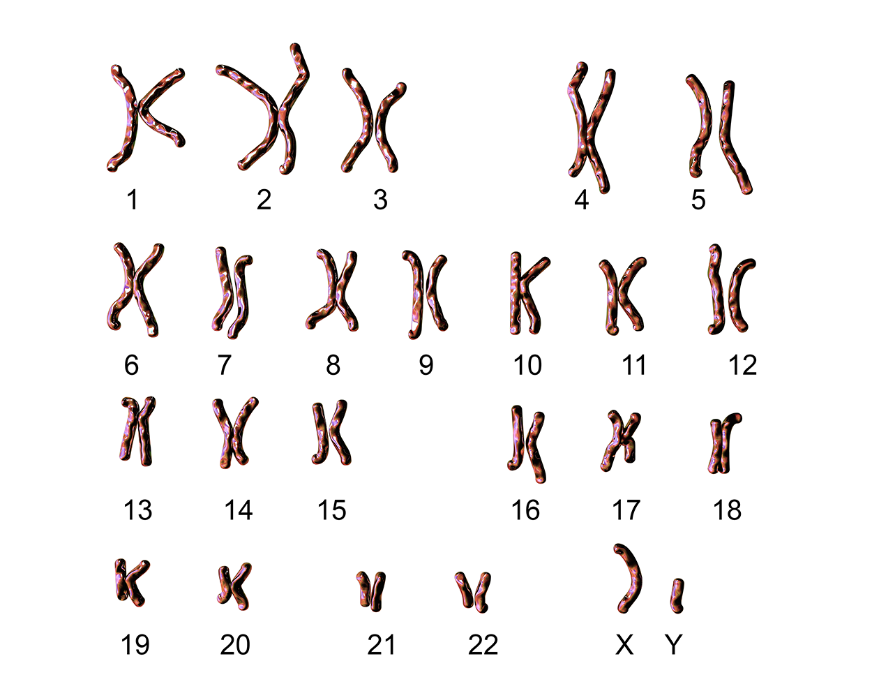
Chromosomes, as you may recall, are long, threadlike structures that are found in a cell’s nucleus and contain genetic information called DNA. Typically, we have 22 pairs of chromosomes and an additional pair of sex chromosomes totaling 46 chromosomes. An image of these chromosomes, called a karyotype, is obtained through a laboratory procedure and helps identify any abnormalities.

Image of a karyotype.

The 22 chromosomes in a male.

A chromosomal abnormality occurs when a child inherits too many or too few chromosomes.

did you know
The most common cause of chromosomal abnormalities is the age of the mother. A 20-year-old woman has a 1 in 800 chance of having a child with a common chromosomal abnormality. A woman of 44, however, has a 1 in 16 chance. It is believed that the problem occurs when the ovum is ripening prior to ovulation each month. As the mother ages, the ovum is more likely to suffer abnormalities at this time.

Another common cause of chromosomal abnormalities occurs because the gametes do not divide evenly when they are forming. Therefore, some cells have more than 46 chromosomes. In fact, it is believed that close to half of all zygotes have an odd number of chromosomes. Most of these zygotes fail to develop and are spontaneously aborted by the body. If the abnormal number occurs on pair #21 or #23, however, the individual may have certain physical or other abnormalities.

An altered chromosome structure may take several different forms, and result in various disorders or cancerous growth:

  • Chromosome Deletions: A portion of the chromosome is missing or deleted. Known disorders in humans include Wolf-Hirschhorn syndrome, which is caused by partial deletion of the short arm of chromosome 4; and Jacobsen syndrome, also called the terminal 11q deletion disorder.
  • Chromosome Duplications: A portion of the chromosome is duplicated, resulting in extra genetic material. Known human disorders include Charcot-Marie-Tooth disease type 1A, which may be caused by duplication of the gene encoding peripheral myelin protein 22 (PMP22) on chromosome 17.
  • Chromosome Translocations: A portion of one chromosome is transferred to another chromosome. There are two main types of translocations:
    • Chromosome Reciprocal Translocation: Segments from two different chromosomes have been exchanged.
    • Chromosome Robertsonian Translocation: An entire chromosome has attached to another at the centromere - in humans, these only occur with chromosomes 13, 14, 15, 21, and 22.
  • Chromosome Inversions: A portion of the chromosome has broken off, turned upside down, and reattached, therefore the genetic material is inverted.
  • Chromosome Insertions: A portion of one chromosome has been deleted from its normal place and inserted into another chromosome.
  • Chromosome Rings: A portion of a chromosome has broken off and formed a circle or ring. This can happen with or without loss of genetic material.
  • Isochromosome: Formed by the mirror image copy of a chromosome segment including the centromere.
The two major two-chromosome mutations: insertion (1) and translocation (2).

The three major single-chromosome mutations: deletion (1), duplication (2), and inversion (3).

key concept
One of the most common chromosomal abnormalities is on pair #21. Trisomy 21 comprises 95% of individuals with Down syndrome (DS), and occurs when there are three rather than two chromosomes on the 21st chromosome. An individual with DS has distinct facial features, developmental delay, and oftentimes congenital heart, gastrointestinal, and thyroid disorders.

The extent to which DS manifests can vary from person to person and can range from mild to severe. With early intervention, the life expectancy of individuals with DS has increased in recent years. Keep in mind that there is as much variation in people with DS as in most populations and those differences need to be recognized and appreciated.

IN CONTEXT

Besides Trisomy 21, there are two additional types of DS: Translocation and Mosaic. In Translocation Down syndrome, as the name implies, an extra part or even the entire chromosome 21 is latched to another chromosome. Only about 3% of individuals with DS are diagnosed with Translocation. Meanwhile, Mosaic Down syndrome occurs in 2% of individuals with DS and is marked by some cells having three copies and other cells having two copies of chromosome 21. One of the marked differences between Mosaic DS and Trisomy 21 are the physical and cognitive differences due to cells with the typical number of chromosomes.

When the chromosomal abnormality is on pair #23, the result is a sex-linked chromosomal abnormality. A person might have XXY, XYY, XXX, XO, or 45 or 47 chromosomes as a result. Two of the more common sex-linked chromosomal disorders are Turner syndrome and Klinefelter syndrome.

Turner’s syndrome occurs in 1 of every 2,500 live female births (Carroll, 2007) when an ovum which lacks a chromosome is fertilized by a sperm with an X chromosome. The resulting zygote has an XO composition. Fertilization by a Y sperm is not viable. Turner syndrome affects cognitive functioning and sexual maturation. The external genitalia appear normal, but breasts and ovaries do not develop fully and the woman does not menstruate. Turner’s syndrome also results in short stature and other physical characteristics.

Diagram of a person with Turner syndrome. On the left there is the image of the person with the characteristics of Turner syndrome. The characteristics are low set ears, webbed neck, broad chest and widely spaced nipples, swelling of the hands and feet, loss or abnormal X chromosomes, infertility, cubitus valgus, and coarctation of the aorta. On the right the image shows all of the chromosomes of Turner syndrome and that the second x chromosome is missing.

Klinefelter syndrome (XXY) occurs in 1 out of 700 live male births and results when an ovum containing an extra X chromosome is fertilized by a Y sperm. The Y chromosome stimulates the growth of male genitalia, but the additional X chromosome inhibits this development. An individual with Klinefelter syndrome has some breast development, infertility (this is the most common cause of infertility in males), and low levels of testosterone.

Image of the chromosomes for Klinefelter’s syndrome.

terms to know
Karyotype
An image of chromosomes.
Chromosomal Abnormality
When a child inherits too many or too few chromosomes.
Chromosome Deletions
When a portion of the chromosome is missing or deleted. Known disorders in humans include Wolf-Hirschhorn syndrome.
Chromosome Duplications
When a portion of the chromosome is duplicated, resulting in extra genetic material. Known human disorders include Charcot-Marie-Tooth disease type 1A.
Chromosome Translocations
When a portion of one chromosome is transferred to another chromosome. There are two main types of translocations, reciprocal translocation and Robertsonian translocation.
Chromosome Reciprocal Translocation
When segments from two different chromosomes have been exchanged.
Chromosome Robertsonian Translocation
When an entire chromosome has attached to another at the centromere - in humans, these only occur with chromosomes 13, 14, 15, 21, and 22.
Chromosome Inversions
When a portion of the chromosome has broken off, turned upside down, and reattached, therefore the genetic material is inverted.
Chromosome Insertions
When a portion of one chromosome has been deleted from its normal place and inserted into another chromosome.
Chromosome Rings
When a portion of a chromosome has broken off and formed a circle or ring. This can happen with or without loss of genetic material.
Isochromosome
A chromosome that is formed by the mirror image copy of a chromosome segment including the centromere.
Trisomy 21
One of the most common chromosomal abnormalities that occurs on pair #21. It comprises 95% of individuals with Down syndrome (DS), and occurs when there are three rather than two chromosomes on the 21st chromosome.
Translocation Down Syndrome
When an extra part or even the entire chromosome 21 is latched to another chromosome. Only about 3% of individuals with DS are diagnosed with Translocation.
Mosaic Down Syndrome
Is marked by some cells having three copies and other cells having two copies of chromosome 21. It occurs in 2% of individuals with DS.
Sex-Linked Chromosomal Abnormality
When the chromosomal abnormality is on pair #23.
Turner’s Syndrome
When an ovum which lacks a chromosome is fertilized by a sperm with an X chromosome. The resulting zygote has an XO composition.
Klinefelter Syndrome
When an ovum containing an extra X chromosome is fertilized by a Y sperm. The Y chromosome stimulates the growth of male genitalia, but the additional X chromosome inhibits this development.


2. Prenatal Testing

Prenatal testing consists of prenatal screening and prenatal diagnosis, which are aspects of prenatal care that focus on detecting problems with the pregnancy as early as possible. These may be anatomic and physiologic problems with the health of the zygote, embryo, or fetus, either before gestation even starts or as early in gestation as practical.

2a. Prenatal Screening

Prenatal screening focuses on finding problems among a large population with affordable and noninvasive methods. The most common screening procedures are routine ultrasounds, blood tests, and blood pressure measurement.

IN CONTEXT

Screening can detect conditions such as neural tube defects, anatomical defects, chromosome abnormalities, and gene mutations that would lead to genetic disorders and birth defects, such as spina bifida, cleft palate, Down syndrome, Tay-Sachs disease, sickle cell anemia, thalassemia, cystic fibrosis, muscular dystrophy, and fragile X syndrome. Some tests are designed to discover problems which primarily affect the health of the mother, such as PAPP-A to detect pre-eclampsia or glucose tolerance tests to diagnose gestational diabetes. Screening can also detect anatomical defects such as hydrocephalus, anencephaly, heart defects, and amniotic band syndrome.

Image of a pregnant woman getting testing done.

term to know
Prenatal Screening
Screening that focuses on finding problems among a large population with affordable and noninvasive methods. The most common screening procedures are routine ultrasounds, blood tests, and blood pressure measurement.

2b. Prenatal Diagnosis

Prenatal diagnosis, on the other hand, focuses on pursuing additional detailed information once a particular problem has been found, and can sometimes be more invasive. Common prenatal diagnosis procedures include amniocentesis and chorionic villus sampling (CVS), both of which require inserting a needle to collect a sample of amniotic fluid and placenta, respectively. Because of the miscarriage and fetal damage risks associated with amniocentesis and CVS procedures, many women prefer to first undergo screening so they can find out if the fetus’ risk of birth defects is high enough to justify the risks of invasive testing. Screening tests yield a risk score which represents the chance that the baby has the birth defect; the most common threshold for high-risk is 1:270. A risk score of 1:300 would, therefore, be considered low-risk by many physicians. However, the trade-off between the risk of birth defects and risk of complications from invasive testing is relative and subjective; some parents may decide that even a 1:1000 risk of birth defects warrants an invasive test while others would not opt for an invasive test even if they had a 1:10 risk score.

There are three main purposes of prenatal diagnosis: (1) to enable timely medical or surgical treatment of a condition before or after birth, (2) to give the parents the chance to abort a fetus with the diagnosed condition, and (3) to give parents the chance to prepare psychologically, socially, financially, and medically for a baby with a health problem or disability, or for the likelihood of a stillbirth. Having this information in advance of birth means that healthcare staff, as well as parents, can better prepare themselves for the delivery of a child with a health problem. For example, Down syndrome is associated with cardiac defects that may need intervention immediately upon birth.

key concept
The American College of Obstetricians and Gynecologists (ACOG) guidelines currently recommend that all pregnant women, regardless of age, should be informed and offered prenatal genetic testing to obtain a definitive diagnosis of certain birth defects. Therefore, most physicians offer diagnostic testing to all their patients, with or without prior screening and let the patient decide. If a patient proceeds with prenatal screening in the first trimester, then only one screening approach is recommended. During the second trimester, mothers have the option of doing an ultrasound to identify any fetal structural abnormalities. Depending on results, genetic counseling may be necessary so that the family can make the best-informed decision on how to move forward with the pregnancy.

think about it
Imagine that you are going to become a parent. List some reasons why you would opt for prenatal genetic testing and why not?

Now, let’s select one reason why you move forward with genetic testing. What happens next? Follow this reason and its subsequent reasons by continually asking yourself “then what.”

For example, if you opt for genetic testing because you want to prepare yourself for your baby, then what happens if the results come back positive for a condition. What would you do? Maybe you might seek genetic counseling. Then what would you do? Follow through with this logic for as long as you can and then look at your thought process.

term to know
Prenatal Diagnosis
Screening that focuses on pursuing additional detailed information once a particular problem has been found; can sometimes be more invasive.

summary
In this lesson you learned about chromosomal abnormalities and that two of the most common causes of chromosomal abnormality are a mother’s age and gametes not evenly dividing when they are formed. You learned that there were many ways that a chromosome may be altered, including but not limited to deletions, duplications, translocations, insertions, and inversions. One of the common genetic abnormalities you learned about was Down syndrome and its three forms: Trisomy 21, Translocation, and Mosaic. You also identified sex-linked chromosomal abnormalities which occur on the sex chromosome and include Turner’s syndrome and Klinefelter syndrome.

You also learned about prenatal testing and the importance of prenatal screening for genetic conditions so that, ultimately, a prenatal diagnosis could help a new family be better informed of their baby’s health.

Source: THIS TUTORIAL HAS BEEN ADAPTED FROM LUMEN LEARNING'S LIFESPAN DEVELOPMENT. ACCESS FOR FREE AT https://courses.lumenlearning.com/wm-lifespandevelopment/. LICENSE: CREATIVE COMMONS ATTRIBUTION 4.0 INTERNATIONAL.

REFERENCES

Carroll, J. L. (2007). Sexuality now: Embracing diversity (2nd ed.). Thomson Learning.

Centers for Disease Control and Prevention. (2022, November 18). Facts about down syndrome. Centers for Disease Control and Prevention. Retrieved January 30, 2023, from www.cdc.gov/ncbddd/birthdefects/downsyndrome.html

Current ACOG guidance. ACOG. (n.d.). Retrieved January 30, 2023, from www.acog.org/advocacy/policy-priorities/non-invasive-prenatal-testing/current-acog-guidance

Terms to Know
Chromosomal Abnormality

When a child inherits too many or too few chromosomes.

Chromosome Deletions

When a portion of the chromosome is missing or deleted. Known disorders in humans include Wolf-Hirschhorn syndrome.

Chromosome Duplications

When a portion of the chromosome is duplicated, resulting in extra genetic material. Known human disorders include Charcot-Marie-Tooth disease type 1A.

Chromosome Insertions

When a portion of one chromosome has been deleted from its normal place and inserted into another chromosome.

Chromosome Inversions

When a portion of the chromosome has broken off, turned upside down, and reattached, therefore the genetic material is inverted.

Chromosome Reciprocal Translocation

When segments from two different chromosomes have been exchanged.

Chromosome Rings

When a portion of a chromosome has broken off and formed a circle or ring. This can happen with or without loss of genetic material.

Chromosome Robertsonian Translocation

When an entire chromosome has attached to another at the centromere - in humans, these only occur with chromosomes 13, 14, 15, 21, and 22.

Chromosome Translocations

When a portion of one chromosome is transferred to another chromosome. There are two main types of translocations, reciprocal translocation and Robertsonian translocation.

Isochromosome

A chromosome that is formed by the mirror image copy of a chromosome segment including the centromere.

Karyotype

An image of chromosomes.

Klinefelter Syndrome

When an ovum containing an extra X chromosome is fertilized by a Y sperm. The Y chromosome stimulates the growth of male genitalia, but the additional X chromosome inhibits this development.

Mosaic Down Syndrome

Marked by some cells having three copies and other cells having two copies of chromosome 21. It occurs in 2% of individuals with DS.

Prenatal Diagnosis

Screening that focuses on pursuing additional detailed information once a particular problem has been found, and can sometimes be more invasive.

Prenatal Screening

Screen that focuses on finding problems among a large population with affordable and noninvasive methods. The most common screening procedures are routine ultrasounds, blood tests, and blood pressure measurement.

Sex-Linked Chromosomal Abnormality

When the chromosomal abnormality is on pair #23.

Translocation Down Syndrome

When an extra part or even the entire chromosome 21 is latched to another chromosome. Only about 3% of individuals with DS are diagnosed with Translocation.

Trisomy 21

One of the most common chromosomal abnormalities that occurs on pair #21. It comprises 95% of individuals with Down syndrome (DS), and occurs when there are three rather than two chromosomes on the 21st chromosome.

Turner’s Syndrome

When an ovum which lacks a chromosome is fertilized by a sperm with an X chromosome. The resulting zygote has an XO composition.