Use Sophia to knock out your gen-ed requirements quickly and affordably. Learn more
×

Blood

Author: Sophia

what's covered
In this lesson, you will learn about the functions of blood and what it is made of. Specifically, this lesson will cover:

Table of Contents

1. Functions of Blood

Blood is a tissue, which you have learned is a group of cells that work together to perform a specific function. More specifically, blood is a fluid connective tissue. It is a fluid because it assumes the shape of its container. Recall that a connective tissue creates a connection between two or more other tissues. Like all connective tissues, it is made up of cellular elements and an extracellular matrix.

The cellular elements, also known collectively as formed elements, include erythrocytes (red blood cells, RBCs), leukocytes (white blood cells, WBCs), and cell fragments called thrombocytes (platelets). The extracellular matrix, called plasma, makes blood unique among connective tissues because it is fluid. This fluid, which is mostly water, perpetually suspends the formed elements and enables them to circulate throughout the body within the cardiovascular system.

The primary function of blood is to deliver nutrients to and remove wastes from body cells, but that is only the beginning of the story. The specific functions of blood also include defense and maintenance of homeostasis, such as body temperature, electrolyte levels, and body pH.

terms to know
Blood
A fluid connective tissue which transports nutrients and waste and is responsible for defending against potentially harmful microorganisms or molecules and works to maintain homeostasis in the body.
Formed Elements
The cellular component of blood.
Plasma
The liquid component of blood.

1a. Transportation

Nutrients from the foods you eat are absorbed in the digestive tract. Most of these travel in the bloodstream directly to the liver, where they are processed and released back into the bloodstream for delivery to body cells. Oxygen from the air you breathe diffuses from the lungs into the blood and is transported to the heart, which then pumps it out to the rest of the body.

Blood also picks up cellular wastes and byproducts and transports them to various organs for removal.

EXAMPLE

Blood moves carbon dioxide to the lungs for exhalation from the body, and various waste products are transported to the kidneys and liver for excretion from the body in the form of urine or bile.

1b. Defense

Many types of leukocytes protect the body from external threats, such as disease-causing bacteria that have entered the bloodstream in a wound. Others seek out and destroy internal threats, such as cells with mutated DNA that could multiply to become cancerous, or body cells infected with viruses.

When damage to the vessels results in bleeding, thrombocytes (platelets) and certain proteins dissolved in the plasma interact to block the ruptured areas of the blood vessels involved by forming a blood clot. This protects the body from further blood loss.

1c. Maintenance of Homeostasis

As you have learned, homeostasis is the state of internal equilibrium or balance maintained by living things. To maintain this balance, the body uses various sensors to detect changes in the environment or stimuli. Recall that body temperature is regulated via a classic negative feedback loop.

Homeostatic reflex arc indicating stimulus, sensor, afferent pathway, control center, efferent pathway, effector, and effect.


IN CONTEXT

If you were exercising on a warm day, your rising core body temperature would trigger several homeostatic mechanisms, including increased transport of blood from your core to your body periphery, which is typically cooler. As blood passes through the vessels of the skin, heat would be dissipated to the environment, and the blood returning to your body core would be cooler. In contrast, on a cold day, blood is diverted away from the skin to maintain a warmer body core. In extreme cases, this may result in frostbite, which is injury that results from freezing of the skin and primarily affects small and exposed body parts, such as fingers and toes.

Blood also helps to maintain the chemical balance of the body. Proteins and other compounds in blood act as buffers, which help to regulate the pH of blood and the body.

Furthermore, blood helps to regulate the water content of body cells by allowing for fluid shift between intracellular and extracellular compartments.


2. Composition of Blood

As you already learned, blood is composed of formed elements (cells) and plasma (fluid). When blood is drawn from the body, it contains both of these components and is known as whole blood.

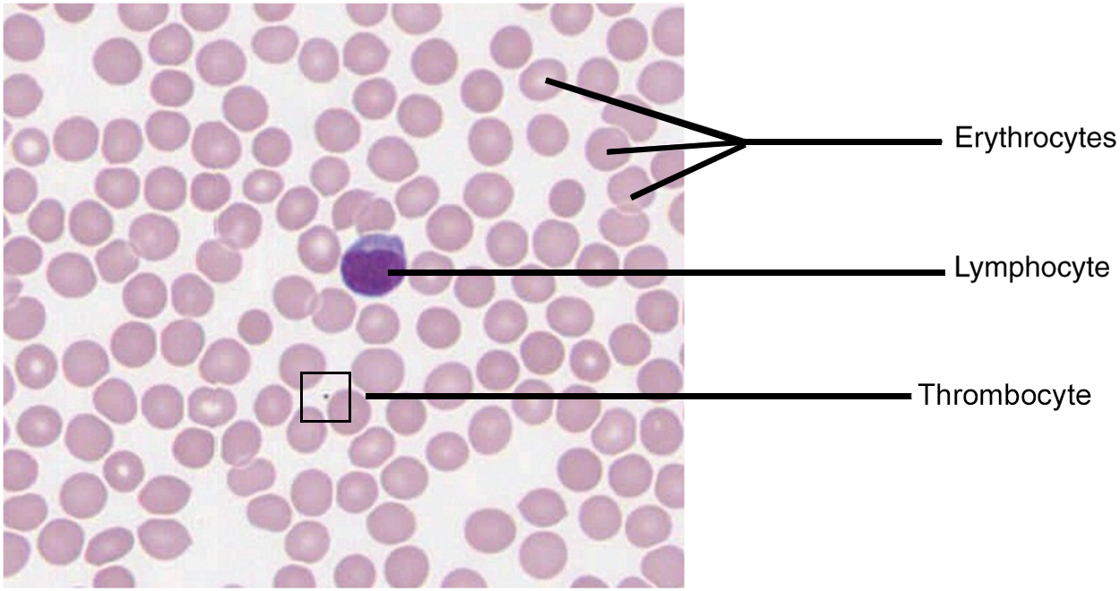
The formed elements are made up of three types of cells. Erythrocytes, commonly known as red blood cells (RBCs), work to transport oxygen (O₂) to and carbon dioxide (CO₂) away from body cells. Leukocytes, commonly known as white blood cells (WBCs), primarily work to identify and remove potentially harmful or infectious agents from the body. Thrombocytes, commonly known as platelets, are cell fragments that work to clot blood and prevent continued blood loss when a blood vessel is cut or broken open.

As you can see in the histology image below, erythrocytes make up the vast majority of formed elements in blood.

Blood—The formed elements of blood as seen through a microscope.

After a vial of blood has been drawn, one test that can be performed will determine your hematocrit (also known as packed cell volume, PCV), the percentage of erythrocytes (red blood cells), in a blood sample. It is performed by spinning the blood sample in a specialized device called a centrifuge, a process that causes the heavier elements suspended within the blood sample to separate from the lightweight, liquid plasma.

Because the heaviest elements in blood are the erythrocytes, these cells settle at the very bottom of the hematocrit tube. Located above the erythrocytes is a pale, thin layer composed of the remaining formed elements of blood. These are the leukocytes and thrombocytes. This layer is referred to as the buffy coat because of its color (“buff” is a pale brownish yellow color); it normally constitutes less than 1% of a blood sample. Above the buffy coat is the blood plasma, normally a pale, straw-colored fluid, which constitutes the remainder of the sample.

IN CONTEXT

You have probably had blood drawn from a superficial vein in your arm, which was then sent to a lab for analysis. Some of the most common blood tests—for instance, those measuring lipid or glucose levels in plasma—determine which substances are present within blood and in what quantities. Other blood tests check for the composition of the blood itself, including the quantities and types of formed elements.
Blood Draw—A phlebotomist draws a vial of blood from a superficial vein in the arm.
think about it
What is blood made up of?

In normal blood, approximately 45% of a sample is erythrocytes. The hematocrit of any one sample can vary significantly between 36%–50% according to sex and other factors. Normal hematocrit values for females range from 37 to 47, with a mean value of 41; for males, hematocrit ranges from 42 to 52, with a mean of 47. The percentage of other formed elements, the WBCs and platelets, is extremely small, so it is not normally considered with the hematocrit. Therefore, the mean plasma percentage is the percent of blood that is not erythrocytes: For females, it is approximately 59% (or 100 minus 41), and for males, it is approximately 53% (or 100 minus 47).
Composition of Blood—The cellular elements of blood include a vast number of erythrocytes and comparatively fewer leukocytes and platelets. Plasma is the fluid in which the formed elements are suspended. A sample of blood spun in a centrifuge reveals that plasma is the lightest component. It floats at the top of the tube separated from the heaviest elements, the erythrocytes, by a buffy coat of leukocytes and platelets. Hematocrit is the percentage of the total sample that is comprised of erythrocytes. Depressed and elevated hematocrit levels are shown for comparison.

A person's hematocrit can vary for a number of reasons, such as hydration status, elevation (altitude above sea level), recent trauma, disease states, and kidney function. When a person becomes dehydrated, their plasma levels decrease, which, in turn, increases their hematocrit. This would also be true if the body is producing too many erythrocytes. In reverse, if overhydrated, the plasma levels increase, and hematocrit decreases. This would also be true if the number of erythrocytes removed from circulation dramatically increased due to disease or injury.

Major Blood Components

Component and % of blood Subcomponent and % of component Type and % (where appropriate) Site of production Major function(s)
Plasma 43%–63% Water 92% Fluid Absorbed by intestinal tract or produced by metabolism Transport medium
Plasma proteins 7% Albumin 54–60% Liver Maintain osmotic concentration
Transport lipid molecules
Globulins 35–38% Alpha globulins—liver Transport, maintain osmotic concentration
Beta globulins—liver Transport, maintain osmotic concentration
Gamma globulins (immunoglobulins)—plasma cells Immune responses
Fibrinogen 4–7% Liver Blood clotting in hemostasis
Regulatory proteins <1% Hormones and enzymes Various sources Regulate various body functions
Other solutes 1% Nutrients, gases, and wastes Absorbed by intestinal tract, exchanged in respiratory system, or produced by cells Numerous and varied
Formed elements 37%–54% Erythrocytes 99% Erythrocytes Red bone marrow Transport gases, primarily oxygen and some carbon dioxide
Leukocytes <1%
Platelets <1%
Granular leukocytes: neutrophils eosinophils basophils Red bone marrow Nonspecific immunity
Agranular leukocytes: lymphocytes monocytes Lymphocytes: bone marrow and lymphatic tissue Lymphocytes: specific immunity
Monocytes: red bone marrow Monocytes: nonspecific immunity
Platelets <1% Megakaryocytes: red bone marrow Hemostasis

IN CONTEXT
Career Connection
Phlebotomy and Medical Lab Technology

Phlebotomists are professionals trained to draw blood (phleb-, a blood vessel; -tomy, to cut). When more than a few drops of blood are required, phlebotomists perform a venipuncture (vein puncture), typically of a surface vein in the arm. They perform a capillary stick on a finger, an earlobe, or the heel of an infant when only a small quantity of blood is required. An arterial stick is collected from an artery and used to analyze blood gases.

After collection, the blood may be analyzed by medical laboratories or perhaps used for transfusions, donations, or research. While many allied health professionals practice phlebotomy, the American Society of Phlebotomy Technicians issues certificates to individuals passing a national examination, and some large labs and hospitals hire individuals expressly for their skill in phlebotomy.

Medical or clinical laboratories employ a variety of individuals in technical positions:
  • Medical technologists (MT), also known as clinical laboratory technologists (CLT), typically hold a bachelor’s degree and certification from an accredited training program. They perform a wide variety of tests on various body fluids, including blood. The information they provide is essential to the primary care providers in determining a diagnosis and in monitoring the course of a disease and response to treatment.
  • Medical laboratory technicians (MLT) typically have an associate’s degree but may perform duties similar to those of an MT.
  • Medical laboratory assistants (MLA) spend the majority of their time processing samples and carrying out routine assignments within the lab. Clinical training is required, but a degree may not be essential to obtaining a position.

terms to know
Whole Blood
Blood containing all of its components, formed elements and plasma.
Erythrocytes
Blood cells that transport oxygen to and carbon dioxide away from body cells; red blood cells.
Leukocytes
Formed elements that primarily identify and remove potentially harmful agents; white blood cells.
Thrombocytes
Blood cell fragments that function to clot blood and reduce blood loss.
Hematocrit
The percentage by volume of red blood cells in a blood sample.
Buffy Coat
A thin, pale layer of leukocytes and platelets that separates the erythrocytes from the plasma in a sample of centrifuged blood.

summary
In this lesson, you learned about the general function and makeup of blood. You first learned about the functions of blood, including how it provides transportation, plays a role in defense, and serves in the maintenance of homeostasis. You then learned about the composition of blood and what it is made of.

SOURCE: THIS TUTORIAL HAS BEEN ADAPTED FROM OPENSTAX “ANATOMY AND PHYSIOLOGY 2E”. ACCESS FOR FREE AT OPENSTAX.ORG/BOOKS/ANATOMY-AND-PHYSIOLOGY-2E/PAGES/1-INTRODUCTION. LICENSE: CREATIVE COMMONS ATTRIBUTION 4.0 INTERNATIONAL.

Terms to Know
Blood

A fluid connective tissue which transports nutrients and waste and is responsible for defending against potentially harmful microorganisms or molecules and works to maintain homeostasis in the body.

Buffy Coat

A thin, pale layer of leukocytes and platelets that separates the erythrocytes from the plasma in a sample of centrifuged blood.

Erythrocytes

Blood cells that transport oxygen to and carbon dioxide away from body cells; red blood cells.

Formed Elements

The cellular component of blood.

Hematocrit

The percentage by volume of red blood cells in a blood sample.

Leukocytes

Formed elements that primarily identify and remove potentially harmful agents; white blood cells.

Plasma

The liquid component of blood.

Thrombocytes

Blood cell fragments that function to clot blood and reduce blood loss.

Whole Blood

Blood containing all of its components, formed elements and plasma.